Prova CBO 2025 | Teórica I | Questão 26
Resposta Correta
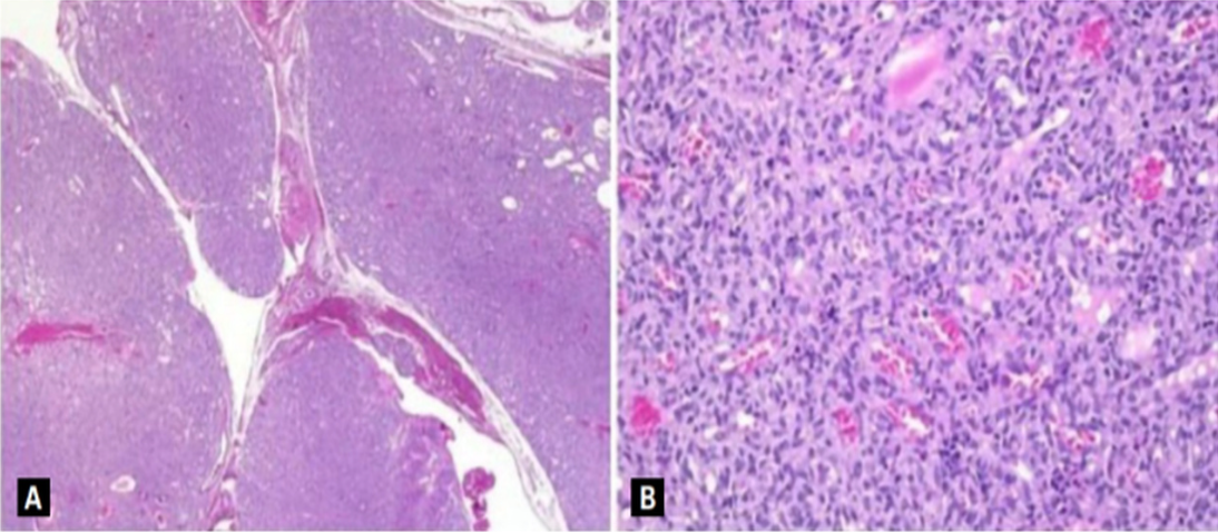
O exame histopatológico sob coloração hematoxilina-eosina de uma amostra de tumoração orbitária revelou células endoteliais agrupadas, espaços vasculares irregulares e aspecto lobulado, com septação delgada, conforme imagens, uma de menor e outra de maior aumento. Qual é o diagnóstico mais provável pelos achados patológicos dentre os abaixo?

-
a) Cisto dermoide.
-
b) Hemangioma infantil (capilar).
-
c) Malformação venosa cavernosa (hemangioma cavernoso).
-
d) Rabdomiossarcoma.
Comentário da questão
Pela descrição o candidato poderia inicialmente inferir que trata-se de um tumor orbitário vascular, uma vez que no histopatológico demonstra células endoteliais agrupadas e espaços vasculares irregulares. Na imagem A podemos observar lóbulos septados com canais vasculares finos em meio a um estroma em proliferação, e na imagem...